
福岡市中央区天神の抜かない歯医者
やすだ歯科保存治療クリニック
〒810-0001福岡県福岡市中央区天神1-15-25 2F (地下鉄天神駅 徒歩3分)
診療時間 | 9:30~13:00/15:00~19:00 (土曜日は16:30まで) |
|---|
休診日 | 日曜・祝日 |
|---|
ご予約・お問合せはこちらへ
当院ではCADCAM(キャドカム)装置を導入しています。キャドカムとは硬質レジンのブロックから機械で詰め物を削り出す装置です。
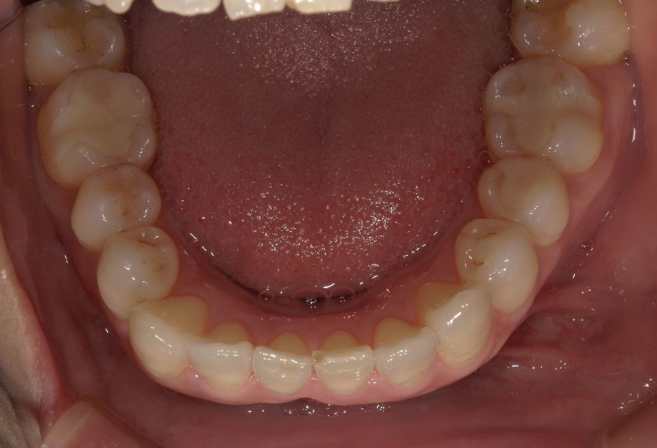
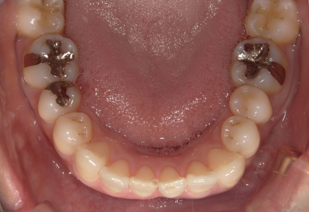
銀歯は目立つから嫌だという方には、保険診療で白い詰め物が可能になりました。歯の欠損が大きい場合やブリッジなどは保険適応外になるため、より強度が強いセラミックやジルコニアをお勧めします(自費治療)。
古くなった銀歯は虫歯になりやすく、成分が溶け出してアレルギーの原因になることから、当院では銀歯のやり替えをお勧めしています。
保険の白い詰め物、かぶせ物(キャドカム硬質レジン)
1本 3,000円~1万円 部位や大きさにより異なります
自費の白い詰め物、かぶせ物(セラミック、ジルコニア、ハイブリット)
1本 3万円~10万円 より虫歯になりにくく、強度が強いなどのメリットがあります
20代・女性
皮膚科で金属アレルギーと診断されて受診しました。他院では銀歯以外は保険治療ではできなくて、それ以外は全て自費のセラミックと言われました。こちらでは保険の白い歯についても詳しく説明していただきました。見た目も自然で、皮膚症状も軽くなってとても満足しています。
| 月 | 火 | 水 | 木 | 金 | 土 | 日 | |
|---|---|---|---|---|---|---|---|
| 午前 | ○ | ○ | ○ | ○ | ○ | ○ | × |
| 午後 | ○ | ○ | ○ | ○ | ○ | △ | × |
午前 9:30~13:00
午後 15:00~19:00
(土曜日は16:30まで)
日曜日・祝日
お気軽にご連絡ください。
〒810-0001
福岡市中央区天神1-15-25
昭和通り橋口ビル2F
地下鉄天神駅 徒歩3分