
福岡市中央区天神の抜かない歯医者
やすだ歯科保存治療クリニック
〒810-0001福岡県福岡市中央区天神1-15-25 2F (地下鉄天神駅 徒歩3分)
診療時間 | 9:30~13:00/15:00~19:00 (土曜日は16:30まで) |
|---|
休診日 | 日曜・祝日 |
|---|
ご予約・お問合せはこちらへ
「指輪やネックレスでかぶれやすい。」
「歯医者で治療を受けてから体調がすぐれない。」
など、このような症状でお悩みはありませんか?お口の中に装着している銀歯や入れ歯などで使用される金属が原因となり、全身にアレルギー症状を発祥される方が近年増えています。
当院では、歯科金属アレルギー外来を開設して、金属アレルギー治療を行っております。金属アレルギーが疑われる方は、ご相談ください。
歯科による金属アレルギーの症状は、お口の中だけでなく直接金属が触れていない全身にも現れます。
例えば、アトピー性皮膚炎、接触性皮膚炎、扁平苔せんや脱毛症などの全身症状や口内炎、舌炎などが挙げられます。
歯科治療に使用した金属が長い間にお口の中に溶け出して、それが過剰に体に取り込まれることでアレルギー反応が起きてしまうのが原因です。
金属アレルギーの原因となりやすい金属には、コバルト、ニッケル、クロム、パラジウム、亜鉛、銅、水銀などがあります。
上記を含む主な歯科用金属
①金銀パラジウム合金 保険治療で一般的に使用される金属です。銀歯の詰め物やかぶせ物は基本的にこの金属で作製されます。
②ニッケルクロム合金 金銀パラジウム合金よりもアレルギーリスクは高いといわれていますが、近年では使用が制限されています。
③アマルガム アマルガムの主な成分は水銀で、アレルギーを起こしやすいといわれています。まだ、レジン(プラスチック)が使用される20年以上前には頻繁に使用されていました。基本的に、当院では患者さんのすべてのアマルガムは除去しております。
④銀合金 神経を取った歯の土台などに使用されます。錆びやすく、溶け出して歯ぐきが黒く変色する原因となります。銀よりも他の含まれている金属がアレルギーの原因となりやすいです。
金属パッチテスト
左:試薬テープを貼った状態
右:テープを剝がした直後
当院では、金属パッチテストで金属に対してアレルギー反応があるか検査しています。
歯科金属にはいろいろな金属が含まれ、長年装用している間に、からだにアレルギー反応が起こることがあります。
このような場合には、アレルギーの原因となる金属を推定、除去することで、皮膚疾患が治癒あるいは軽快することがあります。
金属パッチテストとは、皮膚表面(背部や上腕)に金属を含んだ試薬を貼付することにより、アレルギー反応を起こすかどうかを調べる方法です。
テストでは、歯科で使用される主な金属の(ニッケル、コバルト、クロム、パラジウム、スズ、銀、銅、亜鉛、水銀、インジウム)を検査することができます。
金属パッチテストの費用は、3,000円(税別)です。パッチテスト検査のためには計3回の来院が必要です。
歯科医院では診断書の発行はできませんので、正式な金属アレルギー診断書が必要な方は皮膚科を受診されて下さい。テストの2日間は、できるだけ検査部位が水分に触れないように注意していただきます。
金属アレルギー外来を希望される初診の方の診療日は、月・水・土曜日のいずれかの曜日です。
<月曜日が初診の方>
月:簡単な問診とパッチテストの試薬を含んだシールを貼ります。この後48時間はできるだけ水分などがシールに触れないように注意します。
↓
水:48時間後にパッチテストのシールを剥がして、発赤や湿疹などの皮膚状態を3段階でチェックします。
↓
木:さらに24時間後に2回目の皮膚状態チェックを行います。金属アレルギー検査の結果のご説明と今後の治療方針についてカウンセリングを行います。
<水曜日が初診の方>
水曜日の後、金と土曜日に来院していただきます。
<土曜日が初診の方>
土曜日の後、月と火曜日に来院していただきます。
ご都合のよい日に初診のご予約をお願い致します。金属アレルギーの診断書が必要な方は、皮膚科の受診が必要になります。当院では、金属アレルギーかどうか知りたい方のための簡易検査になります。
金属アレルギーといっても、身の回りには色々な種類の金属があります。どの種類の金属が患者さんの体質に合わないのかを正しく調べることが重要です。そこでまず行うのがパッチテストです。
分析の結果、アレルゲンがお口の中の金属に含まれていると判明した場合、これらを除去する必要があります。
金属の詰め物やかぶせ物をアレルギーの心配がない保険適応の樹脂や自費のセラミックに交換していきます。
具体的には、
①金属の詰め物を樹脂やセラミック系の白い詰め物に交換します。
②銀合金の土台はグラスファイバーの土台に代えていきます。
③金属入りの入れ歯は、金属のばねを使用しない入れ歯(ノンクラスプ義歯)に代えます。
④差し歯は、オールセラミックなどに代えます。
一部の白い詰め物やかぶせ物は保険適応ですのでご相談ください。
当院では金属アレルギーの方は、かぶせ物の一部が金属を使用しない保険適応の白い歯に交換できますので詳しくはご相談下さい。
保険適応の白い歯
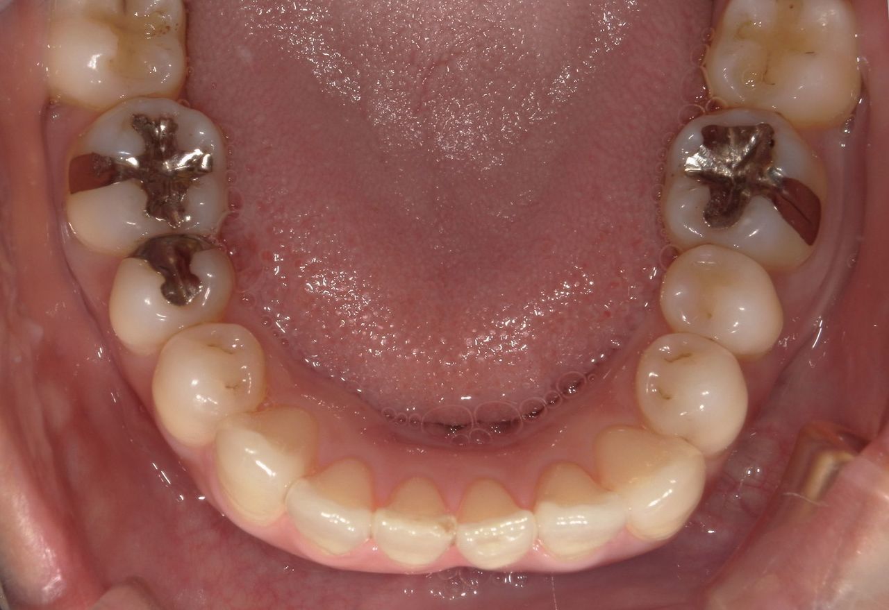
手の湿疹がなかなか治らないので皮膚科を受診したが、原因が不明で「口の中の金属が原因かも。」と言われた。
当院でパッチテストをしたところ、パラジウムとインジウムに陽性反応がみられたため金属を除去した。
左下6番目にメタルインレーが装着されていた。銀歯を除去して、保険適応の白い詰め物をした。数ヵ月後から皮膚症状の赤みが少なくなり目立たなくなった。
アレルギーの原因としては、金属以外にもハウスダストや食品なども考えられるので総合的な治療が必要なケースが多い。
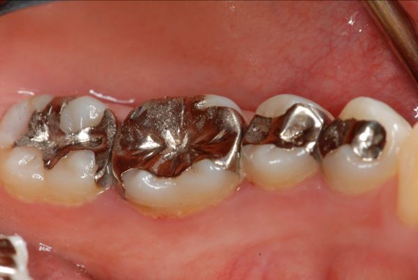
左下6番目に銀歯が装着されている。
銀歯を外して、虫歯を削ってから保険適応の詰め物をした。
| 月 | 火 | 水 | 木 | 金 | 土 | 日 | |
|---|---|---|---|---|---|---|---|
| 午前 | ○ | ○ | ○ | ○ | ○ | ○ | × |
| 午後 | ○ | ○ | ○ | ○ | ○ | △ | × |
午前 9:30~13:00
午後 15:00~19:00
(土曜日は16:30まで)
日曜日・祝日
お気軽にご連絡ください。
〒810-0001
福岡市中央区天神1-15-25
昭和通り橋口ビル2F
地下鉄天神駅 徒歩3分