
福岡市中央区天神の抜かない歯医者
やすだ歯科保存治療クリニック
〒810-0001福岡県福岡市中央区天神1-15-25 2F (地下鉄天神駅 徒歩3分)
診療時間 | 9:30~13:00/15:00~19:00 (土曜日は16:30まで) |
|---|
休診日 | 日曜・祝日 |
|---|
ご予約・お問合せはこちらへ
審美歯科とは、歯の機能を回復するだけでなく見た目の美しさも追求した診療科目です。
歯をできるだけ削らずに残す保存歯科とは両立できないことがありますので、どのくらいの見た目をご希望されるか、事前のカウンセリングで十分ご相談ください。
詰め物やかぶせ物としては、1)ハイブリット 2)セラミック 3)ジルコニア 4)ゴールド 5)硬質レジン 6)銀歯などがあります。
歯の欠損部部の治療には、1)ブリッジ 2)入れ歯 3)インプラントがあります。できるだけ削らない治療としては入れ歯やインプラントをおすすめしています。
ハイブリッドインレーとは、セラミック(陶器)の粒子とレジン(プラスチック)を混ぜたもので作られた詰め物です。セラミックインレーよりもやわらかく、対合歯にも優しいというメリットがあります。1本3万円
<ハイブリッドインレーのメリット>
<ハイブリッドインレーのデメリット>
左下6番目の銀歯を白くしたい。
ある程度強度もあり、変色しにくい素材がいいとのこと、ハイブリットセラミックを選択された。
セラミックインレーは100%陶器により歯の形に作り上げた詰め物です。陶器のため、年数がたっても水分などを吸収せず変色にも強いため、きれいな状態を持続することができます。
<セラミックインレーのメリット>
<セラミックインレーのデメリット>
セラミックインレーは詰め物を白くしたいだけでなく、汚れがつきにくく変色しない材料がやっぱりいいという方に大変おすすめです。治療費は、1本5万円
左下567番目をできるだけ強度があり、変色しない詰め物にしたい。
陶器のセラミックの詰め物を選択された。
ゴールドインレー・クラウンは、金合金でつくられた詰め物・かぶせ物です。
金合金は非常に溶けにくいため、金属の溶けだしによる歯茎の変色や金属アレルギーが起こりにくくなります。また、歯にぴったりと適合し虫歯になりにくくなります。
<ゴールドのメリット>
・金合金なので強度が強く、噛む力の強い部位でも適応できる
・展性や延性に優れているので、虫歯ができにくくなる
・金属アレルギーの心配が保険の銀歯に比べてかなり少ない
<ゴールドのデメリット>
・金自体の価値が高いので、治療費も高くなる
・金属なので見た目が白くない
ゴールドインレー・クラウンは、見た目よりもまず虫歯になりにくい材料がよいという方に最もおすすめです。 ゴールドの治療費は、詰め物が1本5万円・かぶせ物が1本10万円です。
オールセラミッククラウンは、金属を一切使用せず、すべてセラミックでできたかぶせ物です。まるで天然の歯のように白く光沢のある審美性の高い治療法です。
歯の表面を削ってから型を取り、その上からオールセラミックスを被せることで、 歯並びや噛み合わせはもちろん口元を美しく演出することができます。 治療期間は短いので、短期間で口元を美しくしたいという方に最適な治療方法です。
用いられるセラミックは天然歯と同程度、もしくはそれ以上の強度を誇る陶材です。 オールセラミックス自体が破損することは滅多にありません。また金属アレルギーの心配もありません。 変色することもなく、透明感の強い美しい歯を手に入れることができます。
オールセラミッククラウンにはいくつかの種類があり、それぞれ作製の方法が多少異なるため治療費も異なります。強度や見た目の美しさをどれだけ重視されるかで、選ぶセラミックも変わります。
スタンダード 1本10万円
色が単色で、患者さんの歯の色が比較的綺麗で色の再現が容易のケースにおすすめです。
プレミアム 1本13万円
色が複雑でいくつもの色を塗り重ねていくため、可能な限り他の歯と区別がつかないぐらい自然な歯を希望される方におすすめです。
<オールセラミッククラウンのメリット>
・審美性に優れている
・歯の表面がツルツルなので汚れが付着しにくい
・虫歯により歯の欠損部分が大きくても治療可能
・金属が溶け出さない
・歯並びや噛み合わせを短期間である程度整えることができる
<オールセラミッククラウンのデメリット>
・歯を削る量が銀歯に比べて多くなる
・費用が高い
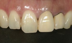
主訴:左上前歯2本の変色および歯茎との境目が黒いのを治したい
できるだけ変色しなくて、歯茎が黒くならないのがよいとのことでオールセラミッククラウンを選択された。
左上12番目のかぶせ物と歯茎の間が気になる。
できるだけ自然なかぶせ物がいいとのことで、オールセラミックを装着した。
ハイブリッドセラミックは、レジン(歯科用プラスチック)にセラミックの粉末を混ぜた素材です。レジンには変色しやすく破損しやすいという欠点があり、セラミックには硬すぎて接触する他の歯を傷めてしまうという欠点があります。
その両者の欠点をうまくカバーした、セラミックの強度と有機材料の粘り強さを併せ持ち素材がハイブリッドセラミックです。
ハイブリッドセラミッククラウンには、ハイブリッドセラミックのみで作るものやハイブリッドセラミックを金属のフレームに貼り付けたものがあります。
<ハイブリッドクラウンのメリット>
<ハイブリッドクラウンのデメリット>
銀歯を白くしたいけど壊れないか心配という方には、内側を金属で補強したハイブリットセラミッククラウンをお勧めします。治療費用は、1本5万円です。
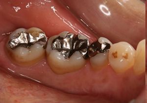
下顎左右奥歯の銀歯を白くしたい。
強度と変色しにくい材料ということで、ハイブリットセラミックを装着した。
神経のない歯の場合、オールセラミッククラウンや金属冠などのかぶせ物をするためには、補強の為の土台(コア)を作る必要があります。当院では、無駄に歯を削るのは避けるために、神経を取った歯でもできるだけ詰め物にしますが…。
土台には様々な種類があり、それぞれ特長が異なります。
最も審美性の高いファイバーコア
強度や適合性に優れたゴールドコア
保険内の金属でできたメタルコアやプラスチックでできたレジンコアなどがあります。
しかし、金属製の土台は歯よりも硬いため強い力がかかった時に歯が割れてしまうリスクが高くなります。結果的に、歯を抜く可能性が高くなります。
一方、ファイバーコアは、硬さや弾力が歯に近いため強い力がかかった時に歯が割れるリスクが低くなります。
ファイバーコアとは、グラスファイバーという特殊な素材でできた土台のことで、コアのなかでは最も審美性が高いのが特徴です。前歯のオールセラミッククラウンをより綺麗に見せたい方や根っこにヒビが入っていて予後が心配な方にお勧めです。治療費は、1本2万円です。
<ファイバーコアのメリット>
美しく透明感が有り、歯の色に近いので綺麗に仕上る
歯と同じようにしなるので歯が割れにくい
金属アレルギーの心配がない
メタルコアのような歯茎の変色が起こらない
<ファイバーコアのデメリット>
自費診療になるのでレジンコアやメタルコアより費用がかかる
| 月 | 火 | 水 | 木 | 金 | 土 | 日 | |
|---|---|---|---|---|---|---|---|
| 午前 | ○ | ○ | ○ | ○ | ○ | ○ | × |
| 午後 | ○ | ○ | ○ | ○ | ○ | △ | × |
午前 9:30~13:00
午後 15:00~19:00
(土曜日は16:30まで)
日曜日・祝日
お気軽にご連絡ください。
〒810-0001
福岡市中央区天神1-15-25
昭和通り橋口ビル2F
地下鉄天神駅 徒歩3分